Pular para o conteúdo
Associação de Gastroenterologia do Rio de Janeiro

Associação de Gastroenterologia do Rio de Janeiro

Site oficial dos gastroenterologistas do Rio de Janeiro com artigos, notícias, eventos e muito mais

  • A AGRJ
    • Nossa história
    • Diretoria e Comissões
    • Estatuto
    • Associados
    • Capítulo Sul Fluminense da AGRJ
    • Associe-se
  • Eventos
    • GASTREN-Rio
    • GastroBúzios
    • Simpósios de Atualização da AGRJ
    • Encontro de Residentes e Especializandos em Gastroenterologia do Rio de Janeiro
    • Webinars da AGRJ
  • Comunicação
    • Notas oficiais
    • Notícias
    • Podcasts
    • Canal da AGRJ
  • Público em geral
    • Opinião do especialista
    • Associados
    • Serviços Públicos de Gastroenterologia
  • Área do associado
    • Cadastro de consultório
    • Recadastramento
    • Artigos Científicos
    • Quiz
    • Calculadoras e escores médicos
    • Guidelines
    • Diretrizes do Ministério da Saúde
    • Biblioteca Rima
    • Casos Clínicos
  • Contato

Categoria: Quiz

  • Início
  • Quiz

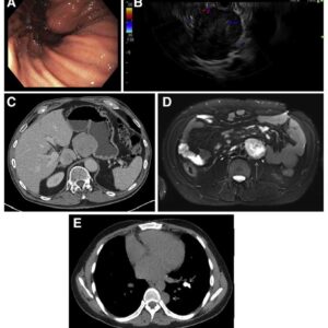
QUIZ: Um caso incomum de polipose gastrointestinal

1 de setembro de 202324 de abril de 2023
Notícias, Quiz

QUIZ: Espessamento do íleo e estenose biliar numa mulher brasileira de 26 anos

1 de agosto de 20235 de abril de 2023
Notícias, Quiz

QUIZ: Uma causa rara de mucosa esofágica anormal confluente

1 de julho de 202327 de julho de 2023
Notícias, Quiz

QUIZ: Tumores múltiplos em um paciente jovem

8 de junho de 20236 de junho de 2023
Notícias, Quiz

QUIZ: Uma causa rara de hemoperitônio

1 de maio de 20235 de abril de 2023
Notícias, Quiz

Navegação por posts

Publicações mais antigas

Login

Por favor, logue no site.

Federada a

Assine nossa newsletter

Seu e-mail foi cadastrado em nossa base de dados. Em breve você receberá nossos informativos em seu e-mail.

Últimas notícias

  • Nota de falecimento: Roberta de Oliveira Martins Azevedo
  • 13º Encontro de Residentes e Especializandos em Gastroenterologia do Rio de Janeiro será no dia 13
  • XII Encontro de Residentes e Especializandos em Gastroenterologia do Rio de Janeiro
  • Saiba como foi o XII Encontro de Residentes e Especializandos em Gastroenterologia do Rio de Janeiro
  • AGRJ realiza Live com contador sobre gestão de consultórios e clínicas

Redes sociais

Contatos

Telefones: (21) 2236-4510

socgastro@socgastro.org.br

Redes sociais

Onde estamos

Rua Siqueira Campos, 93, sala 802, Copacabana, Rio de Janeiro, RJ. CEP: 22031-071

Copyright © 2026 Associação de Gastroenterologia do Rio de Janeiro All rights reserved. Theme: Flash by ThemeGrill. Powered by WordPress
Usamos cookies em nosso site para fornecer uma experiência mais relevante, lembrando suas preferências e visitas repetidas. Ao clicar em “Aceitar”, concorda com a utilização de TODOS os cookies.
ACEITAR
Manage consent

Privacy Overview

This website uses cookies to improve your experience while you navigate through the website. Out of these, the cookies that are categorized as necessary are stored on your browser as they are essential for the working of basic functionalities of the website. We also use third-party cookies that help us analyze and understand how you use this website. These cookies will be stored in your browser only with your consent. You also have the option to opt-out of these cookies. But opting out of some of these cookies may affect your browsing experience.
Necessary
Sempre ativado
Necessary cookies are absolutely essential for the website to function properly. This category only includes cookies that ensures basic functionalities and security features of the website. These cookies do not store any personal information.
Non-necessary
Any cookies that may not be particularly necessary for the website to function and is used specifically to collect user personal data via analytics, ads, other embedded contents are termed as non-necessary cookies. It is mandatory to procure user consent prior to running these cookies on your website.
SALVAR E ACEITAR